Tuscany Dental Centre
Success Stories
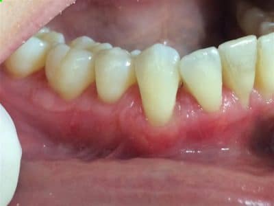
Amanda’s Story
When she began grafting her teeth she had so much tissue loss it was very noticeable — after the grafting procedure the results are lovely.
Ask Your Hygienist
This could be something you could ask your hygienist about at your next visit if you have the same conditions present in your mouth.
Teeth Whitening Results
New Patients Welcome



